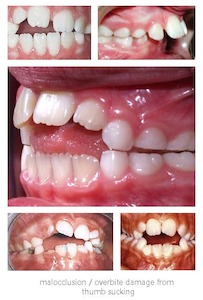
About the Thumb Sucking Habit

 
Why do children begin thumb sucking?

From birth, all infants have a natural instinct to suck; this in order to receive nutrition through breast and bottle feeding, a behaviour which is not only completely normal, but necessary for survival. From the very first time they engage in breast feeding, infants learn that sucking can not only provide valuable nourishment, but also a great deal of pleasure, comfort, and warmth. Whether from a breast, bottle, or pacifier, this behaviour, over time, begins to become associated with a very strong, self-soothing, and pleasurable oral sensation. As the child grows older, and is eventually weaned off of the nutritional sucking, they can either develop alternative means for receiving those same feelings of physical and emotional fulfilment, or they can continue experiencing those pleasantly soothing experiences by beginning to suck their thumbs or fingers. When should children stop thumb sucking?

Although thumb sucking (or finger sucking) is a per...

Store:
ThumbGuard NZ
Price:
$84.95
0 0
×