ThumbGuard NZ 1 views Claim this Business

Order your TGuard ThumbGuard or FingerGuard today! Stop the Thumb and Finger sucking habit in as little as 30 days with TGuard. Dentist and FDA-approved.
1 to 6
×
  • $69.95 +
    TGuard Classic
    Formerly known as the original ThumbGuard™, our time-tested way to break thumb sucking in 30 days or less. Why is TGuard™ recommended the most?- TGuard™ Classic takes less than 4 weeks to completely break the habit.- TGuard™ Classic is made out of FDA-listed, medical grade plastic, and is m...
    Buy from Store 0 0
  • $25 +
    Bracelets
    .00 – $40.00 Price range .00 through $40.00Comes in two quantities: either 30 or 60. Each band can be used only once, and we recommend 30 days of treatment, per hand.
    Buy from Store 0 0
  • $5 +
    Instalock
    For use with TGuard products only. Please select the kit type below.s simplify the adjustment process, and allow you to keep the right settings when using our products to stop thumb or finger sucking.
    Buy from Store 0 0
  • $92.95 +
    TGuard AeroFinger
    NEW! Break the finger sucking habit quickly and comfortably, with our newly redesigned AeroFinger treatment kit, which can cover any two adjacent fingers, on any hand. Why is TGuard™ recommended the most?- Takes less than 4 weeks to completely break the habit. Most see results in 1 week.- Made ou...
    Buy from Store 0 0
  • $84.95 +
    TGuard AeroThumb
    NEW! Our improved-design treatment kit is more comfortable and ensures greater results than our time-tested success, TGuard Classic! Why is TGuard™ recommended the most?- AeroThumb™ takes less than 4 weeks to completely break the habit.- AeroThumb™ is made out of soft and flexible, FDA-listed...
    Buy from Store 0 0
  • $84.95 +
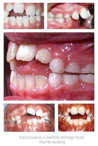
    About the Thumb Sucking Habit
    Why do children begin thumb sucking?From birth, all infants have a natural instinct to suck; this in order to receive nutrition through breast and bottle feeding, a behaviour which is not only completely normal, but necessary for survival. From the very first time they engage in breast feeding, infa...
    Buy from Store 0 0
×